Brain
MRIdian Linacシステムは、MRIによるイメージングと放射線照射を同時に行える“MRリニアック”システムです。このシステムは、即時適応型放射線治療に対応したシステムです。
MRIと放射線照射技術を一体化し、照射中も連続的に軟部組織を描出します。患者さんが治療寝台に乗っている間に、リアルタイムでターゲットを正確に捉え、モンテカルロ線量計算システムによって、照射線量を再計算し最適化する機能も備えています。
Smartシステム
MRIとリアニックが融合し
オンラインアダプティブがより現実に
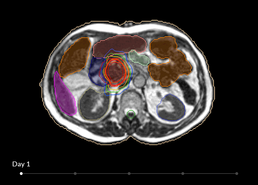
MRIdianは照射中でも、常にMRI画像を見ながら照射することが可能になりその画像を用いて、腫瘍の位置や形を確認し、治療計画の確認・変更することができ、アダプティブ放射線治療までシームレスに行えます。
治療計画をオンラインで短時間再構築
既存のワークフローを妨げることなく、MRI画像は高速で表示され、腫瘍と周辺機器、リスク臓器をリアルタイムに観察し、治療期間中は常にその変化について視覚で捉えることができます。
治療計画をオンラインで短時間再構築
既存のワークフローを妨げることなく、MRI画像は高速で表示され、腫瘍と周辺機器、リスク臓器をリアルタイムに観察し、治療期間中は常にその変化について視覚で捉えることができます。
システムの紹介
腫瘍をみながら治療、腫瘍に的確に放射線照射これまで放射線腫瘍医は、放射線治療中に患者さんの内臓の動きを追尾しながら照射する手段を与えられていませんでした。
従来の放射線治療技術では、画像は治療前、あるいは治療後に確認できるのみでした。照射中リアルタイムで、体内の照射部位を正確に確認することができなかったのです。非常に正確な治療計画を立てることは可能です。但し、それはあくまで何時間、何日、あるいは1週間前に撮られた画像を基に立てた計画です。組織の動きに伴い腫瘍や周辺臓器の位置が移動し、腫瘍の位置から外れ健康な組織を照射する可能性が数多くのスタディで指摘されています。
従来の放射線治療器は、基準マーカーや埋込型基準マーカーを使って局所的な腫瘍の位置を特定し、照射の精度を向上させようと努めてきました。これは侵襲的でもあり、CT画像装置による電離放射線への曝露も増加させます。こうした方法を用いても、照射中の患者体内で何が起こっているかを直接確認することはできませんでした。
MRIdianシステムは、まさにこの問題を解決するために開発された装置です。MRIと放射線照射技術を一体化させた独自のMRIdian®システムは、放射線治療中も継続的に軟部組織を描出します。患者さんが治療寝台に乗っている間に、ターゲットをさらに正確に捉え、改めて照射線量をモンテカルロ線量計算システムで再計算し、最適化する機能を備えています。
連続的MRI画像
MRIは、軟部組織の描出を得意とする画像法です。MRI技術は、CTのような電離放射線を用いず、肺などの生体内臓器のクリアな画像を提供します
完全MRIガイド即時適応型放射線治療システム MRIdianシステムは、常時MRIイメージング、放射線治療、ソフトウェアを統合した独自の放射線治療器です。MRIdianシステムを使用することによって、軟部組織を観察し、照射を視覚化して調整し、治療をコントロールすることが可能です。これらすべてを臨床上でリアルタイムに、侵襲的なマーカーを用いず、他の治療器では避けられなかった電離放射線の被爆なしに治療を行うことができます。